Dental Scan
Με την τεχνική του πολυτομικού αξονικού τομογράφου είμαστε σε θέση να λαμβάνουμε λεπτές εγκάρσιες τομές της άνω και κάτω γνάθου, οι οποίες κατόπιν ειδικής επεξεργασίας ανασυντίθενται για να δώσουν σε κλίμακα 1:1 τη συνολική εικόνα της οδοντοστοιχίας της κάθε γνάθου αλλά και κάθε δόντι ξεχωριστά.
Οι παρεχόμενες υπηρεσίες της Κοσμοιατρικής στον τομέα της Οδοντιατρικής Ψηφιακής Απεικόνισης, που προσφέρονται μέσα από το Τμήμα Υπολογιστικής Ογκομετρικής Τομογραφίας της Κοσμοιατρικής, ξεχωρίζουν για την ποιότητα των και την αξιοπιστία τόσο των εξετάσεων όσο και των αποτελεσμάτων που φέρουν την υπογραφή της έμπειρης και εξειδικευμένης ιατρικής ομάδας μας.
Πρωτοποριακή υβριδική ακτινογραφική μονάδα της SIRONA/SIEMENS 3D Orhophos SL 3D:
Πρόκειται ένα μηχάνημα τελευταίας γενιάς με διπλό ψηφιακό αισθητήρα καδμίου-τελλουρίου (CdTe) και ιδιαίτερα αυξημένη ευκρίνεια. Διαθέτει μεγάλη μείωση στην έκθεση σε ιοντίζουσα ακτινοβολία για τις δισδιάστατες προβολές και ψηφιακό αισθητήρα flat panel για τρισδιάστατη απεικόνιση.
Οι κατάλληλα εκπαιδευμένοι τεχνολόγοι/ακτινολόγοι των Εργαστηρίων μας, διασφαλίζουν λήψεις ακτινογραφημάτων υψηλής διαγνωστικής αξίας, με την χαμηλότερη δυνατή δόση ακτινοβολίας, με ειδικά προγράμματα έκθεσης και για παιδιά.
Οι εξετάσεις που πραγματοποιούνται είναι:
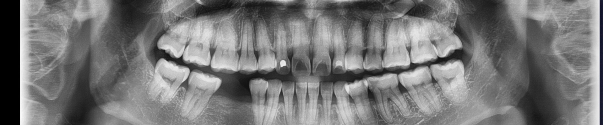
Ψηφιακή Πανοραμική Ακτινογραφία
Η πανοραμική ακτινογραφία αποτελεί την πλέον χρήσιμη ακτινογραφική εξέταση στην καθημερινή οδοντιατρική πράξη για τον πλήρη έλεγχο του οδοντικού φραγμού. Είναι η μοναδική ακτινογραφική τεχνική που δίνει τη δυνατότητα στον Οδοντίατρο να δει σε μια εικόνα όλα τα δόντια και τα οστά τόσο της άνω και της κάτω γνάθου.
Ο τρόπος λήψης είναι απλός και πραγματοποιείται, με μια πλήρη περιστροφή του μηχανήματος γύρω από το κεφάλι του εξεταζόμενου σε χρόνο εξέτασης περίπου 10 δευτερολέπτων. Μεγάλη σημασία έχει η ορθή τοποθέτηση του εξεταζόμενου.
Το ακτινογραφικό μηχάνημα διαθέτει πολλά διαφορετικά διαγνωστικά προγράμματα όπως:
- Πρόγραμμα ενηλίκων για ολόκληρο το φραγμό ή τμήματα αυτού.
- Παιδικό πρόγραμμα για ολόκληρο το φραγμό ή τμήματα αυτού.
- Πρόγραμμα για τις κροταφογναθικές διαρθρώσεις τόσο για κλειστό στόμα, όσο και για ανοιχτό στόμα.
- Πρόγραμμα πρόσθιας λήψης των ιγμορείων.
Επιπλέον, το σύστημα, με 3 διαφορετικά laser και διαφορετικές δυνατότητες λήψεων διευκολύνει ιδιαίτερα την τοποθέτηση των εξεταζόμενων.
Με την υψηλή ταχύτητα των λήψεων (300 frames/S) επιτρέπει την πανοραμική ανασύνθεση των λήψεων σε όγκο με πάχος έως 30 χιλ. γύρω από το οδοντικό τόξο.
Το μοναδικό του σύστημα εστίασης (αυτόματα ή χειροκίνητα) επιτρέπει την βέλτιστη προσαρμογή των τομών στον κάθε εξεταζόμενο.
Πέρα από την βελτιωμένη ποιότητα των ακτινογραφιών, υπάρχει η δυνατότητα αποστολής πανοραμικών και κεφαλομετρικών ακτινογραφιών με μορφή αρχείων DICOM, (ή η εγγραφή των αρχείων DICOM σε CD με image reader) με δυνατότητα επεξεργασίας των εικόνων και πραγματοποίησης μετρήσεων πάνω σε αυτές.
Ψηφιακή Πλάγια Κεφαλομετρική Ακτινογραφία
Η πλάγια κεφαλομετρική ακτινογραφία είναι μια τυπική πλάγια ακτινογραφία του κρανίου. Αποτελεί το σημαντικότερο μέσο μελέτης και διερεύνησης της αύξησης του κρανιοπροσωπικού συμπλέγματος.
Χρησιμοποιείται κυρίως στην Ορθοδοντική.
Η δόση ακτινοβολίας είναι πολύ μικρή, διότι και ο χρόνος έκθεσης είναι μόλις μερικά δευτερόλεπτα. Οι σταθερές συνθήκες λήψης -που είναι δυνατόν να επαναλαμβάνονται με ακρίβεια, παρέχουν τη δυνατότητα συγκρίσιμων ακτινογραφημάτων για τη μελέτη της ανάπτυξης του προσώπου.
3D Υπολογιστική Ογκομετρική Τομογραφία Κωνικής Δέσμης – CBCT
Η ακτινολογική εξέταση Yπολογιστικής Ογκομετρικής Τομογραφίας Κωνικής Δέσμης γνωστή και ως CBCT, αποτελεί μια απεικονιστική μέθοδο εκλογής για την γναθοπροσωπική χώρα όταν απαιτούνται πληροφορίες για τη τρίτη διάσταση.
Η απεικόνιση της τρίτης διάστασης συμπληρώνει τις πληροφορίες των απεικονιστικών προβολών δύο διαστάσεων όπως οπισθοφατνιακών, πανοραμικών και νεφομετρικών ακτινογραφημάτων, ξεπερνώντας τους περιορισμούς αυτών των εξετάσεων, κυρίως την αλληλεπίθεση των δομών και την παραμόρφωση της εικόνας.
Χρησιμοποιείται ευρέως σε όλα τα πεδία της οδοντιατρικής, όπως για:
- Διερεύνηση της ανατομίας,
- Σχεδιασμό τοποθέτησης εμφυτευμάτων,
- Προεγχειρητικό έλεγχο,
- Διερεύνηση παθολογίας,
- Ενδοδοντία,
- Περιοδοντολογία,
- Εξέταση της κροταφογναθικής διάρθρωσης.
Η εξέταση περιλαμβάνει τρία στάδια:
- το στάδιο της λήψης,
- το στάδιο της επεξεργασίας και
- το στάδιο της γνωμάτευσης.
Η διαδικασία λήψης της Υπολογιστικής Ογκομετρικής Τομογραφίας -CBCT είναι ίδια με αυτή της πανοραμικής ακτινογραφίας.
Η επεξεργασία και η γνωμάτευση της εξέτασης πραγματοποιούνται αποκλειστικά από οδοντίατρο εξειδικευμένο στη Διαγνωστική και Ακτινολογία του Στόματος, εντός δύο εργάσιμων ημερών.
Dental Scan
Με την τεχνική του πολυτομικού αξονικού τομογράφου είμαστε σε θέση να λαμβάνουμε λεπτές εγκάρσιες τομές της άνω και κάτω γνάθου, οι οποίες κατόπιν ειδικής επεξεργασίας ανασυντίθενται για να σας δώσουν σε κλίμακα 1:1 την συνολική εικόνα της οδοντοστοιχίας της κάθε γνάθου αλλά και κάθε δόντι ξεχωριστά. Οι δυνατότητες ανασύνθεσης των τομών στον αξονικό τομογράφο είναι πολλές και οι ανασυνθέσεις μπορούν να πραγματοποιηθούν προς οποιαδήποτε επιθυμητή κατεύθυνση.






